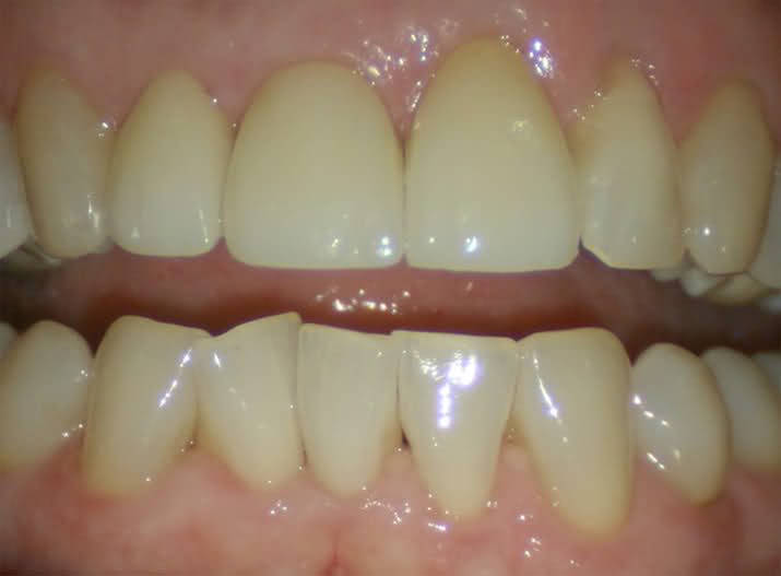
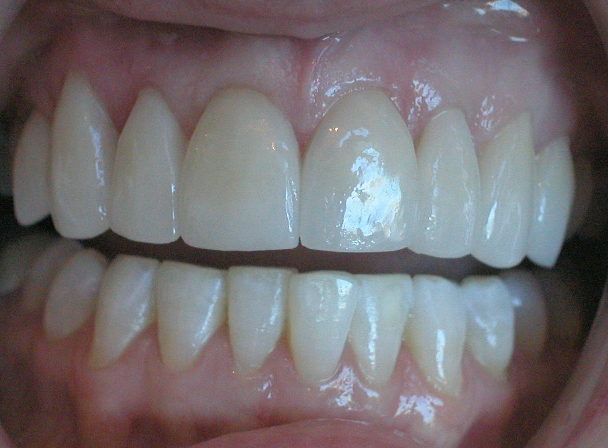
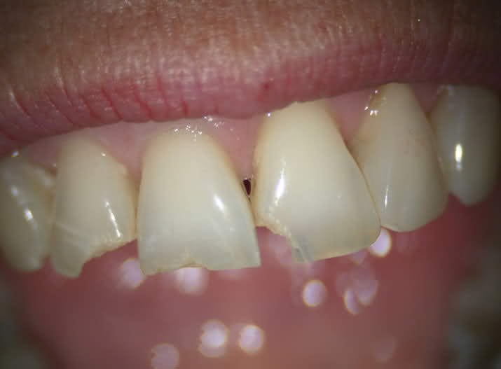
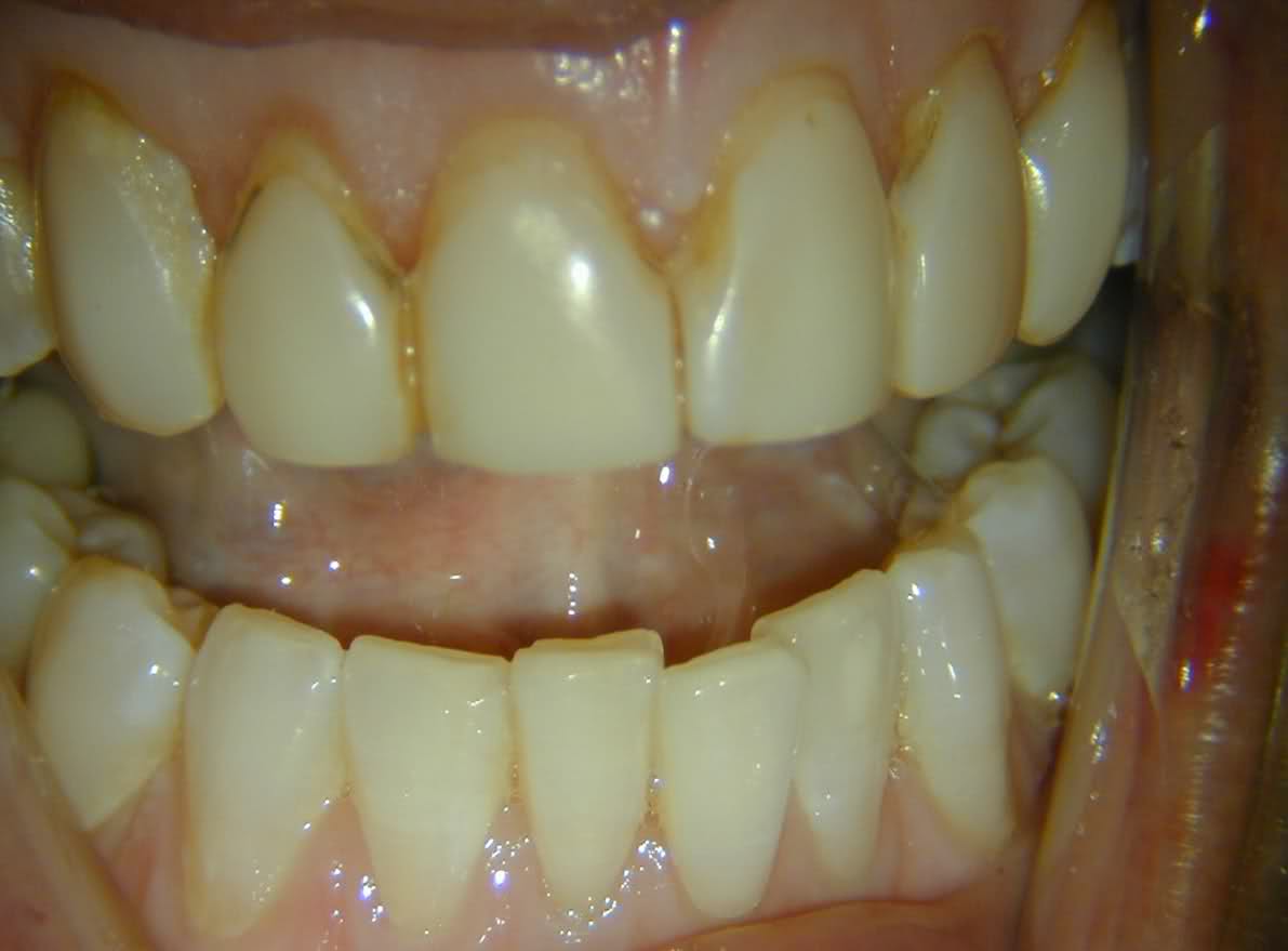
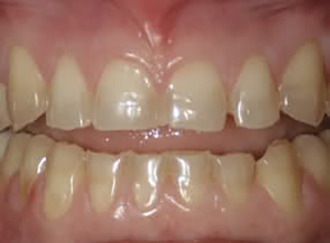
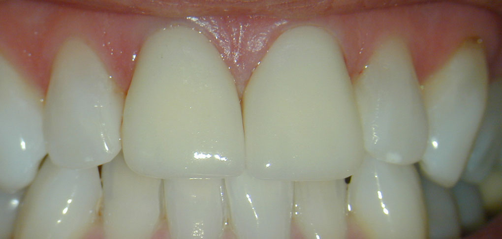
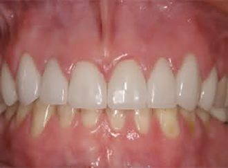
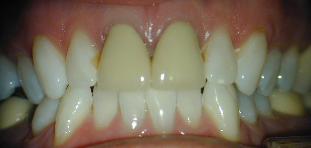
At Perfect Smiles Plano, we take great pride in transforming and restoring our patients' smiles to their fullest potential. Our Smile Gallery showcases a variety of success stories, each reflecting the skill and dedication we put into every procedure. We invite you to browse through the photos below for a glimpse of the exceptional results our team has achieved. Whether you're considering cosmetic or restorative dental treatments, let these examples inspire you to take the next step towards your perfect smile.

“I highly recommend Perfect Smiles Plano Family Dentistry. Today was my first visit with them. I was a little nervous and they quickly put me at ease. Everyone was kind, professional and very thorough.”

- Carrie

“Dr. Tehrani and his staff are the best! They make you feel so welcome and get you in and out in a timely manner but never feel rushed. Doc actually spends time with his patients because he genuinely cares about their well being!”

- Britney

“Dr Tehrani and the entire staff at Perfect Smiles are the nicest, most caring people. They make going to the dentist a pleasant experience. The office is very clean, easy to find and park. The staff is very helpful too. I recommend them to all my friends.”

- Bren

“Absolutely amazing staff! From the dentists to the hygienists, to the admin staff, everyone is so dedicated to ensuring a positive experience!”

- Kevron

“Dr. Tehrani and his staff are the absolute best! My whole family and I have been coming to see Dr. Tehrani for over 20 years and have always received exceptional care.”

- Stephanie

Real Patients, Real Stories, Real Smiles